矯正歯科
- HOME
- 矯正歯科
矯正治療で歯並びを整え、
美しさも健康も手に入れる
Hollywood Dental Smile GINZAでは、見た目の美しさはもちろん、噛み合わせバランスまで考慮したトータルな矯正治療を行っています。
歯並びが整うことで、虫歯や歯周病の予防にもつながり、長期的に健康な口腔環境を保つことができます。
リンガル矯正(裏側矯正)
人前でも気にならない「裏側からの矯正」
リンガル矯正は、歯の裏側に装置を装着するため、外から見えません。
接客業や人と話す機会が多い方に人気の矯正方法です。
当院では、経験豊富な矯正専門医が個々の歯列に合わせてワイヤーを設計し、違和感を最小限に抑えた快適な矯正を行っています。
ワイヤー矯正
精密なコントロールが可能な王道の治療法
ワイヤー矯正は、細かい歯の移動や噛み合わせ調整に優れています。
Hollywood Dental Smile GINZAでは、通常のワイヤーのほか、透明ブラケットやホワイトワイヤーも使用し、目立ちにくく快適に治療を進められるよう工夫しています。
マウスピース矯正
(インビザライン)
取り外せるから清潔で快適
透明なマウスピースを装着し、少しずつ歯を動かしていく最新の矯正方法です。食事や歯みがきの際に取り外せるため、衛生的でストレスも少なめ。
装着中もほとんど目立たないので、接客業の方にも人気があります。
症例
マウスピース矯正
| 主訴 | 上下前歯部の叢生 |
|---|---|
| 年齢 | 20代 |
| 治療期間 | 8ヶ月 |
| 治療回数 | 7回 |
| 治療に用いた主な装置 | インビザライン |
| 治療費 | 800,000円(税別) |
| リスク・副作用 |
1. 矯正装置装着時に不快感や痛みが生じる場合があります(通常数日〜1週間で消失)。 2. 歯の動きには個人差があり、予定より治療期間が長引く可能性があります。 |
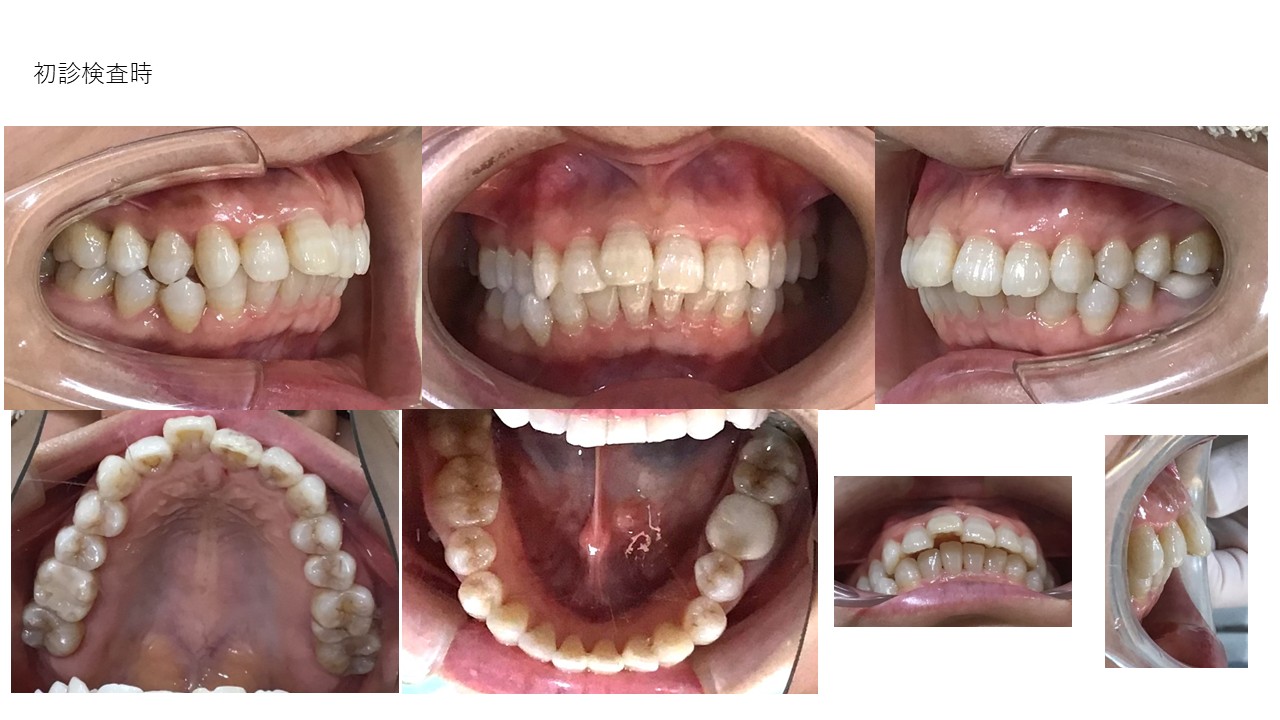
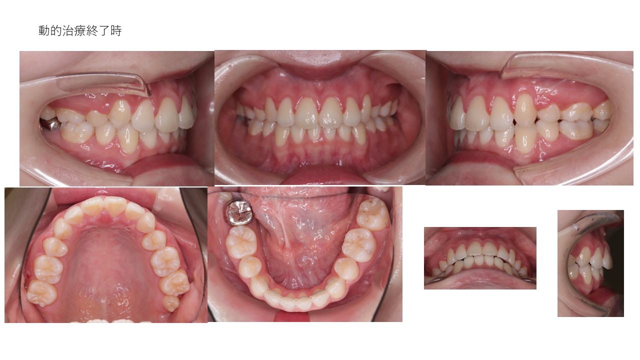
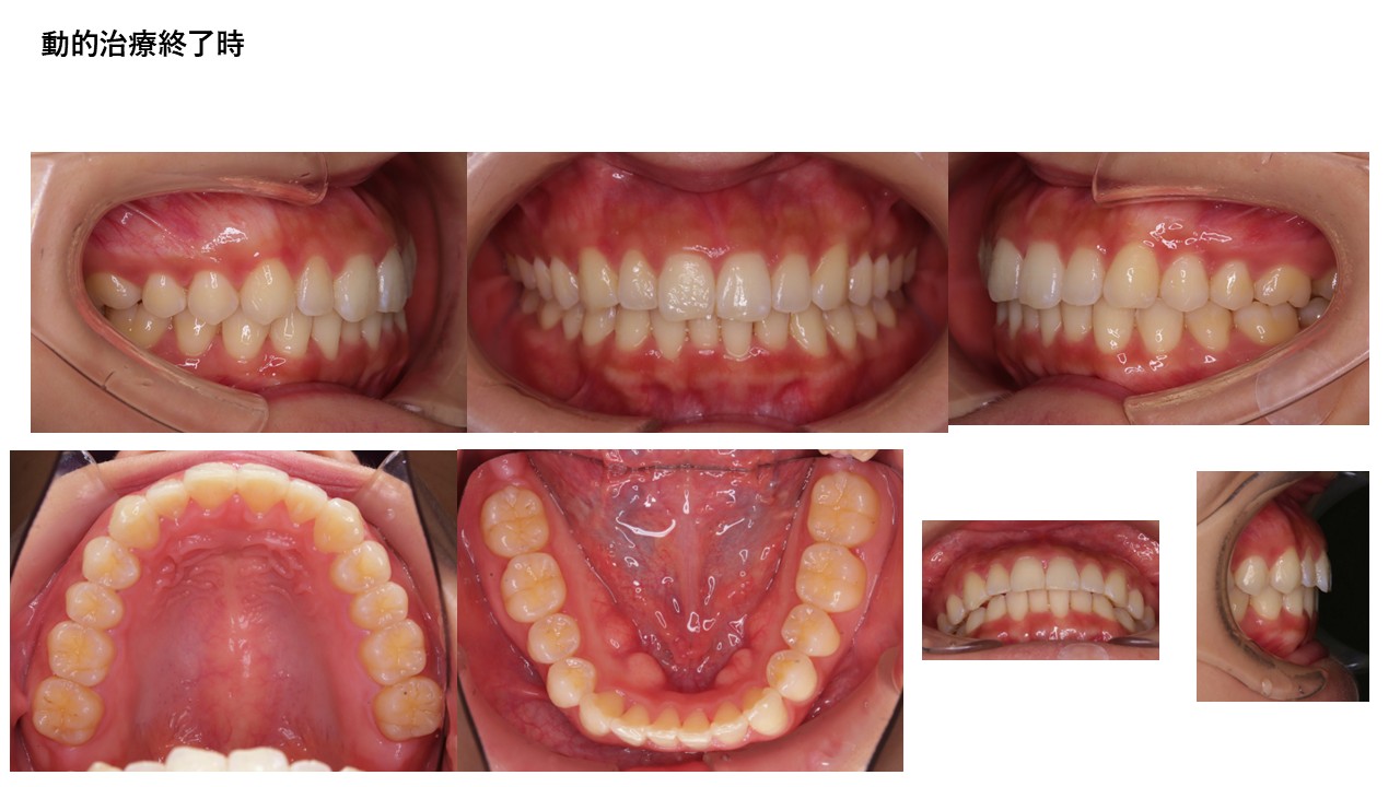
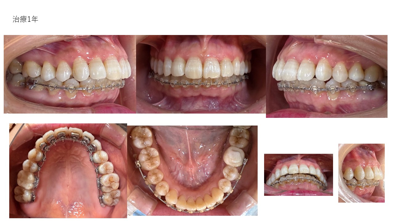
表側ワイヤー矯正
| 主訴 | 叢生、前突 |
|---|---|
| 年齢 | 20代 |
| 治療期間 | 2年4ヶ月 |
| 治療回数 | 19回 |
| 治療に用いた主な装置 | カスタムメイド型マルチブラケットタイプのデジタル矯正装置(インシグニア) |
| 治療費 | 800,000円(税別) |
| 抜歯部位 | 上下顎第一小臼歯4本 |
| リスク・副作用 |
1. 矯正装置を装着すると、不快感や痛みが生じることがあります。通常、数日〜1週間ほどで痛みが消失し、慣れることが多いです。 2. 歯の動き方には個人差があり、予想された治療期間より長引く可能性があります。 |
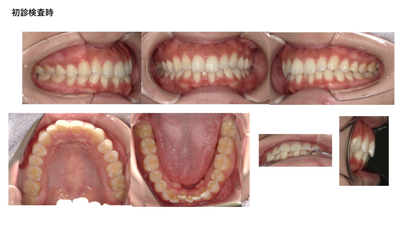
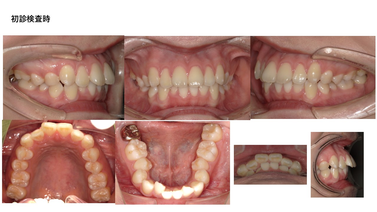
裏側ワイヤー矯正
| 主訴 | 叢生、前突 |
|---|---|
| 年齢 | 30代 |
| 治療期間 | 1年(継続中) |
| 治療回数 | 12回 |
| 治療に用いた主な装置 | カスタムメイド型リンガルブラケットデジタル矯正装置(WIN) |
| 治療費 | 1,300,000円(税別) |
| リスク・副作用 |
1. 矯正装置を装着すると、不快感や痛みが生じることがあります。通常、数日〜1週間ほどで痛みが消失し、慣れることが多いです。 2. 歯の動き方には個人差があり、予想された治療期間より長引く可能性があります。 |
お問い合わせ
Hollywood Dental Smile GINZAでの診療のご予約・お問い合わせは
お電話またはLINEでご連絡ください。
| 診療時間 | 月 | 火 | 水 | 木 | 金 | 土 | 日 |
|---|---|---|---|---|---|---|---|
| 10:00~13:00 | ● | ● | ● | 休 | ● | ● | 休 |
| 14:30~18:30 | ● | ● | ● | 休 | ● | ● | 休 |