セラミック治療
- HOME
- セラミック治療
理想の笑顔を叶える、
セラミック治療
歯の形・色・透明感まで美しく再現するHollywood Dental Smile GINZAのセラミック治療。
一人ひとりの顔立ちや笑い方に合わせたオーダーメイドのデザインで、自然で上品な口もとを実現します。
経験豊富なドクターがカウンセリングから仕上げまで丁寧にサポートいたします。
自然な白さと透明感
― セラミッククラウン
美しさと耐久性を兼ね備えた素材
セラミッククラウンは、金属を使用しないため、歯本来の自然な白さと透明感を再現することができます。また、金属アレルギーの心配がなく、長期間経っても変色しにくいのが大きな特長です。
Hollywood Dental Smile GINZAでは、噛み合わせや隣接歯とのバランスを考慮しながら、精密スキャナーと技工士の手作業による微調整で、自然でありながら整った「理想的な口もと」を再現します。
歯をほとんど削らない審美治療
― ラミネートべニア
自然な白さと滑らかな質感
ラミネートべニアは、歯の表面を最小限だけ削り、薄いセラミックシェルを貼り付ける治療法です。
歯の色や形、すき間を整えながら、ナチュラルで上品な口もとに仕上げることができます。歯への負担が少なく、短期間で印象を大きく変えられるため、「ホワイトニングでは満足できない」「自然な白さを求めたい」方におすすめです。
こんな方におすすめ
・前歯の色や形が気になる方
・ホワイトニングの効果が出にくい方
・自然で上品な口もとを目指したい方
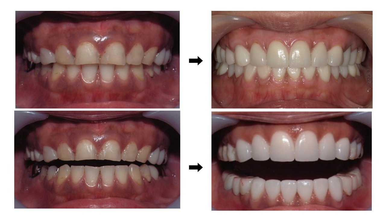
セラミック治療の一例
Hollywood Dental Smile GINZAで行ったセラミック治療の症例の一部をご紹介いたします。
Instagramにもその他多数の症例を掲載しております。
Hollywood Dental Smile GINZAのInstagramはこちら
咬合挙上測定・審美治療
| 治療期間 | 6ヶ月 |
|---|---|
| 治療費 | プレミアムジルコニアクラウン16万×6本 下ラミネートベニアクラウン10万×6本 臼歯部ハイトランスジルコニアクラウン10万×8本 ※すべて税別 |
| リスク・副作用 |
・治療後、一時的に知覚過敏が生じる場合がある ・強い噛みしめや歯ぎしりがある場合、破折や脱離のリスクあり ・歯肉の後退や歯肉ラインの変化により、見た目が変化する可能性あり ・適切なセルフケア・定期的なメンテナンスを行わない場合、むし歯や歯周病の罹患リスクが高まります |
審美歯科
| 治療期間 | 10日間 通院回数2回 |
|---|---|
| 治療費 | プレミアムジルコニアセラミック 16万×6本(税抜き) |
| リスク・副作用 |
・治療後、一時的に知覚過敏が生じる場合がある ・強い噛みしめや歯ぎしりがある場合、破折や脱離のリスクあり ・歯肉の後退や歯肉ラインの変化により、見た目が変化する可能性あり ・適切なセルフケア・定期的なメンテナンスを行わない場合、むし歯や歯周病の罹患リスクが高まります |
審美治療
| 治療期間 | 10日間 通院回数4回 |
|---|---|
| 治療費 | ハイトランスフルジルコニアクラウン10万×20本(税抜き) |
| リスク・副作用 |
・治療後、一時的に知覚過敏が生じる場合がある ・強い噛みしめや歯ぎしりがある場合、破折や脱離のリスクあり ・歯肉の後退や歯肉ラインの変化により、見た目が変化する可能性あり ・適切なセルフケア・定期的なメンテナンスを行わない場合、むし歯や歯周病の罹患リスクが高まります |
お問い合わせ
Hollywood Dental Smile GINZAでの診療のご予約・お問い合わせは
お電話またはLINEでご連絡ください。
| 診療時間 | 月 | 火 | 水 | 木 | 金 | 土 | 日 |
|---|---|---|---|---|---|---|---|
| 10:00~13:00 | ● | ● | ● | 休 | ● | ● | 休 |
| 14:30~18:30 | ● | ● | ● | 休 | ● | ● | 休 |